MENU
FEATURE 当院のインプラント治療の特徴
安心して任せられる医療環境
医療法人冨森会では、インプラント治療について安心して受診できる環境を整え、診療に当たっています。
-
保証期間 5年間
- アフターケアの徹底メンテナンス重視の診療
- インプラント治療後は天然歯と同じようにメンテナンスが必要です。埋入後もメンテナンスを行います。5年間の保証期間を設けています
-
- 高い専門性口腔外科認定医在籍
- 当院にはインプラントの症例経験を多く積んだ口腔外科認定医が在籍しており、症例に合わせてベストな治療計画を行なっています。 ドクターインタビュー
-
- 難症例に対応大学病院レベルの設備
- CT、ガードサイジェリーといった大学病院レベルの設備を完備し、難症例であっても精緻な治療を行える環境を整えています。 医院設備
DIGITAL SURGERY
新しい時代のインプラント論
欠損した歯を機能的に噛めるようにする第一手法としてインプラント手術が挙げられます。
インプラント治療は、歯周組織や顎運動、咬合機能から全身疾患に至るまで多岐に渡る技術と知識が要求されるため、
歯科医師の臨床経験や外科技術、充実した手術設備が重要です。
当院では、患者様が安心して治療を受けられる環境と、デジタルツールを用いて口腔内の精緻な診断を行い、
生涯健康に噛める歯を実現できるよう取り組んでいます。
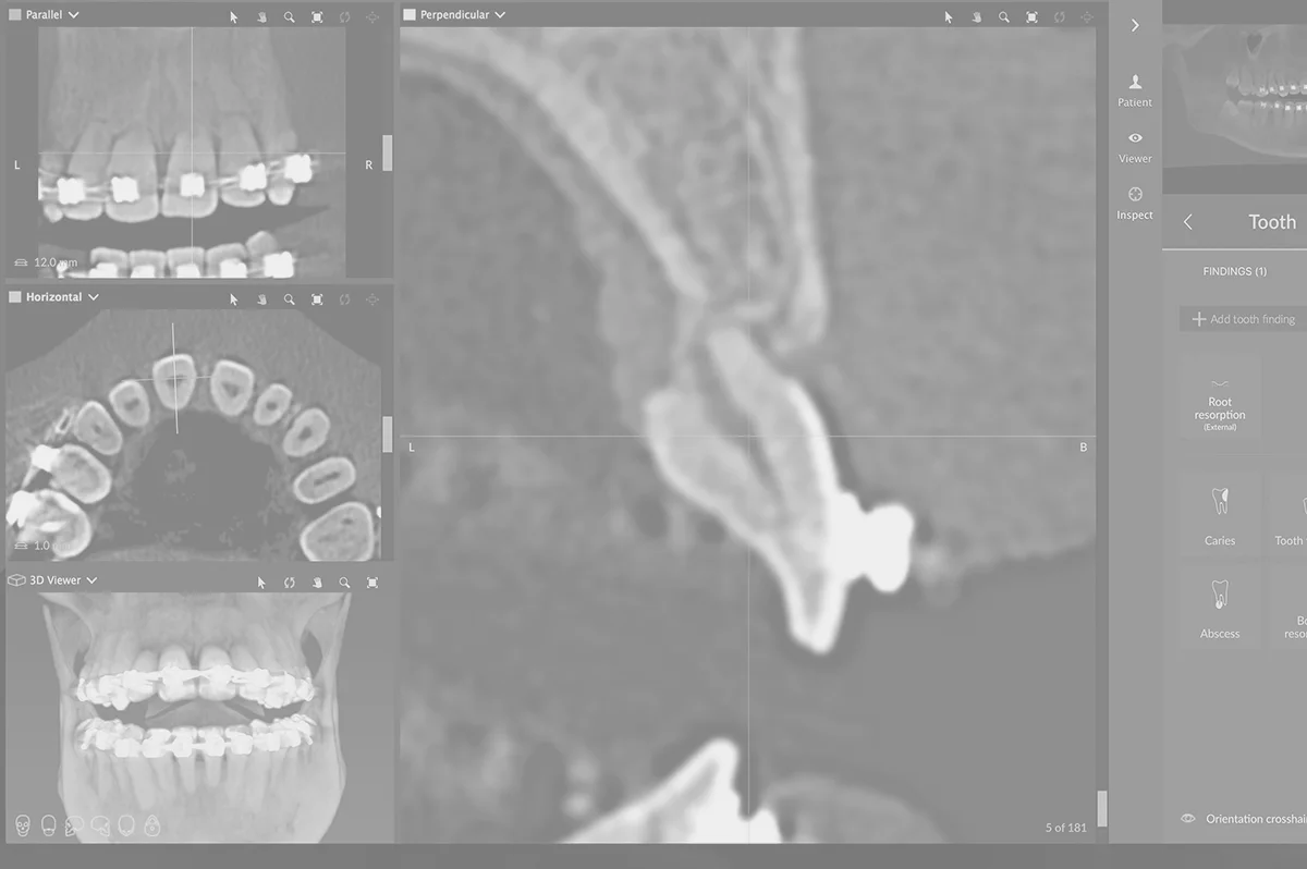
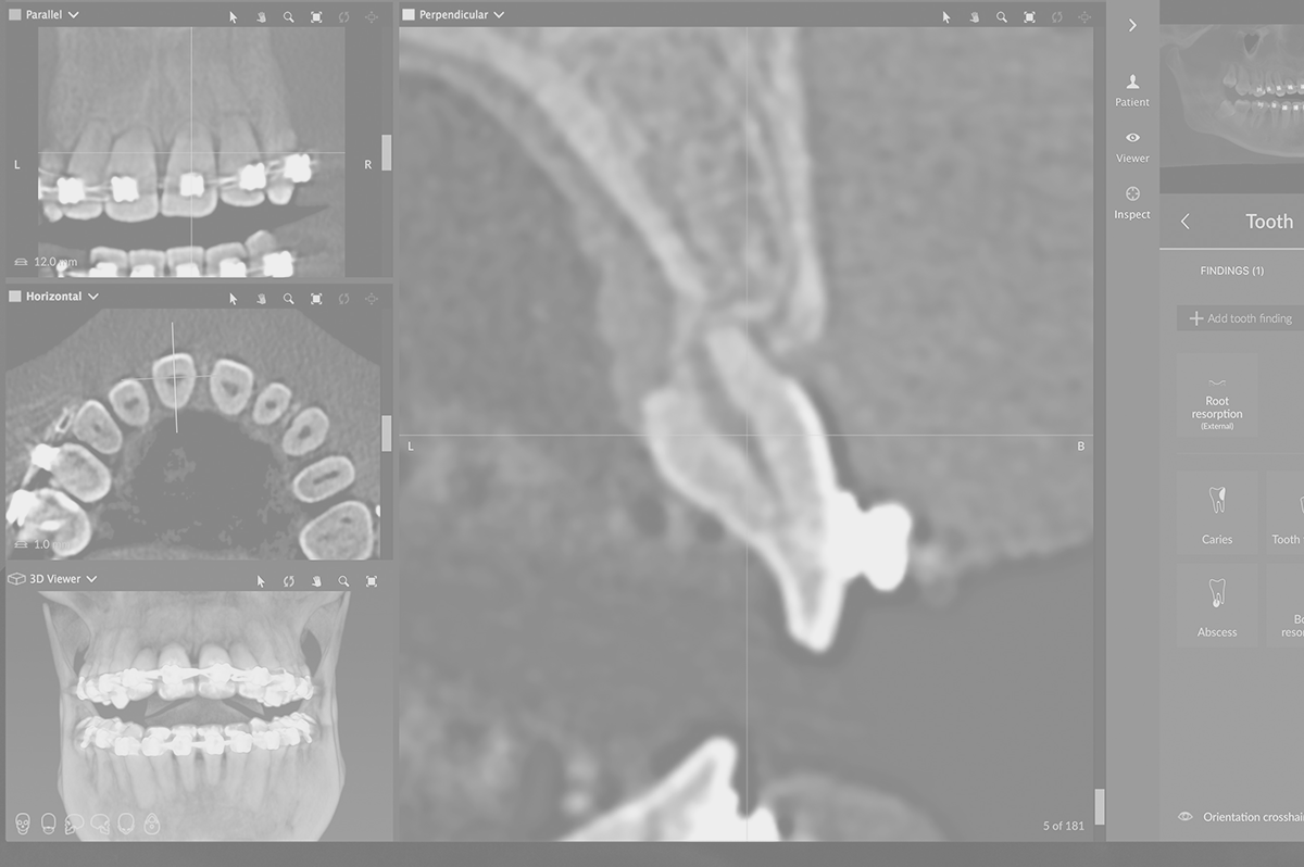
歯科用コーンビームCT
デジタル化で整合性を高める
読影による画像診断力
3D立体画像で口腔内を可視化し、インプラント体を支える顎骨を診断します。骨の長幅径、上顎洞、下顎管の距離を計測し、安全にインプラント手術を進められるように検査を行います。
コンピューターガイデッドサージェリー
正確な埋入ポジショニングを行う
サージカルガイド
手術中にドリルの位置をリアルタイムに追跡する3Dナビゲーション・システムを使用し、インプラント埋入方向、角度、そして深さの精度ち正確性を高め、安全で確実な手術を実現します。
※Xガイドは冨森歯科のみに導入。他クリニックでは別のコンピューターガイデッドサージェリーを使用しています。GUIDED SURGERY SYSTEM
リアルタイム3Dガイダンス
手術の正確性を上げるX-Guide

X-ガイドでは、手術に使用するハンドピースのあらゆる動きをコンピューターがGPSのように追跡し、3Dナビゲーションを実行します。インプラント埋入方向、角度、深さの精度と正確性を向上させます。
※Xガイドは冨森歯科のみに導入。他クリニックでは別のコンピューターガイデッドサージェリーを使用しています。

DIGITAL DENTISTRY  
インプラント治療の精度を上げる
フルデジタルガイドによるワークフロー

-
01
咬合適合
3D模型を作製し、上部構造を設計することで咬み合わせを整えます。
-
02
口腔内デジタル印象
理想の埋入手術を行うためのシミュレーション設計を行います。
-
03
埋入位置・角度の決定
埋入する正確な位置、角度の決定で誤差を少なくし、埋入精度を上げます。
-
04
インプラント埋入手術
顎骨の形態、骨質、歯周組織を予測し、サージカルガイドに沿って安全なオペを展開します。
-
05
経過観察
手術後、インプラント周囲炎の予防のため、1ヶ月おきに経過を見てメンテナンスを行います。
インプラント外科技術
欠損状態で診る
難症例にも対応した術式
欠損歯の本数によってインプラント治療における術式は変わってきます。
体に負担のない最小限の本数で欠損した部分を補い、自然に噛めるようにします。
-

歯を1本失った場合
-

歯を複数失った場合
-

歯を全部失った場合
2回法で負担ないインプラント埋入
〈 横にスクロールしてご確認いただけます 〉
インプラントと顎の骨が結合するまで約2~6ヶ月程度期間をおき、結合したら被せ物をセットするための手術を行い、ヒーリングアバットメントを連結させます。その後、歯肉の治癒期間をおき、歯肉が治癒したらアバットメント・被せ物を装着します。
再生治療
土台を創る
骨再生誘導療法
骨が少ない箇所にインプラントを埋入しないといけない場合、
骨再生誘導療法という方法で必要な骨(土台)を形成して治療を行います。
土台を形成しインプラント埋入を
安定させるGBR法(骨増生)
顎骨を骨量を診断し、幅や厚み、高さがない骨に、インプラント体の埋め込みを可能にするための再生治療です。骨補填材と特殊な膜を使用して骨増生を誘導します。
骨増生 GBR法
〈 横にスクロールしてご確認いただけます 〉

インプラントを埋入する骨が不足しても
治療は可能です。
インプラント素材
症例に沿った
有名インプラントメーカを採用
症例に沿って、各インプラントメーカーの特性を考えて
インプラント素材を使用しています。
患者様の骨の状態に適切に結合する近代歯科インプラントを選び、
世界70カ国以上で使用され、
日本はもとより世界中の医療従事者へ、
様々な症例に対応する幅広いインプラントで治療しています。
噛む機能の集大成
スクリュー
チタン製埋入部位
独自コーティングにより安定した適合性を発揮し、パーツを固定します。
フィクスチャー
超親水性表面処理
歯周組織と強固に癒着して安定させます。
アバットメント
生体親和性表面形状
歯肉とぴったり密着して歯周病菌の侵入を防ぎます。

インプラント周囲炎を予防する
インプラントの周囲に起こる、歯周病によく似た病気をインプラント周囲炎と言います。インプラントもご自身の歯と同様にメンテナンスを行なっていかなければ、インプラント周囲炎を引き起こすことがあるため、定期的なメンテナンスと咬み合わせのチェックを行うことが重要です。
インプラント周囲炎を予防するために、当院では4か月に1回経過観察を行い、メンテナンスを行っています。
口腔内トラブルの原因は
細菌感染
〈 横にスクロールしてご確認いただけます 〉

デジタルインプラントを支える医院設備
歯科用コーンビームCTや顕微鏡など最新の設備で検査を行い、精度の高い安全なインプラント治療を提供します。
症例数で見る医療法人冨森会
2026年1月現在
-
手術日数
1~2日
-
来院数
12767人
-
インプラント症例数
896症例
(2017年〜2025年)
-
埋入本数
182本
(2025年)
DOCTOR INTERVIEW
デジタル×インプラント
充実した設備と先端技術で、
患者様が安心できるインプラント治療を。
インプラント治療は、要求される外科手術です。当院では、手術室をはじめ生体モニターやCT設備、検査機器を完備し、患者様が安心して手術に臨める診療体制を整えています。先端技術と充実した設備、長年の臨床経験と症例数をもとに、一人ひとりの患者様の症例に合わせた負担の少ないインプラント治療を提供します。
口腔外科での経験を生かし、様々なインプラントのケースに対応しています。安全に噛む機能を取り戻すため、インフォームドコンセントを重視し、治療に臨んでいます。
理事長 冨森 伸一郎Shinichiro Tomimori
- 〈 略歴 〉
- 2011年大阪大学歯学部卒業
-
2011年滋賀県立成人病センター
口腔外科 勤務 -
2013年大阪大学歯学部付属病院
口腔外科 勤務 - 2013年冨森歯科医院 勤務
-
2014年滋賀県立成人病センター
口腔外科 勤務
- 〈 所属学会 〉
- 日本口腔外科学会
- 日本口腔インプラント学会
- 日本臨床歯周病学会
- 日本顕微鏡歯科学会
- 〈 資格等 〉
- OSSTEM IMPLANT Advisor
- 口腔外科学会認定医
- 臨床研修指導医
- 〈 受講セミナー 〉
- 無数
医療法人冨森会 冨森歯科医院
〒630-8273
奈良県奈良市押上町20-2Google Map
TEL : 0742-22-3332
近鉄奈良駅から徒歩12分
奈良交通バス押上町バス停から徒歩2分
駐車場は当院正面に4台(内1つは車イス用)、千寿庵さん横に12台、合わせて17台用意しております。車イス用をご利用の際は、ご来院前に一言ご連絡いただければ幸いです。
| 診療時間 | 月 | 火 | 水 | 木 | 金 | 土 | 日・祝 | 9:30-18:00 | ○ | ○ | ○ | ○ | ○ | △ | × |
|---|---|---|---|---|---|---|---|
| 18:00-18:30 | ○ | × | ○ | × | ○ | × | × |
※休診日:日曜・祝日
※土曜日のみ9:30-17:30
森ノ宮キャンパス歯科・口腔外科
〒536-0025
大阪府大阪市城東区森之宮1丁目-6-111Google Map
TEL : 06-6167-8877
JR大阪環状線 森ノ宮駅 徒歩4分
大阪メトロ長堀鶴見緑地線/中央線
森ノ宮駅 徒歩3分
| 診療時間 | 月 | 火 | 水 | 木 | 金 | 土 | 日・祝 | |
|---|---|---|---|---|---|---|---|---|
| 午 前 |
10:00-14:00 | ○ | ○ | × | ○ | ○ | △ | × |
| 11:00-15:00 | × | × | ○ | × | × | × | × | |
| 午 後 |
15:00-19:00 | ○ | ○ | × | ○ | ○ | △ | × |
| 16:00-20:00 | × | × | ○ | × | × | × | × | |
※休診日:日曜・祝日
※土曜日のみ9:30-13:30/14:30-17:30
さんぽ歯科クリニック
〒630-8043
奈良県奈良市六条2丁目-18-3
奈良六条医療モール3号Google Map
TEL : 0742-52-6480
近鉄橿原線西ノ京駅 徒歩15分
大型無料駐車場あり
| 診療時間 | 月 | 火 | 水 | 木 | 金 | 土 | 日・祝 | 9:15-13:00 | ○ | × | ○ | ○ | ○ | ○ | × |
|---|---|---|---|---|---|---|---|
| 14:00-18:00 | ○ | × | ○ | ○ | ○ | △ | × |
※休診日:火曜・日曜・祝日
※土曜日のみ9:15-13:00/14:00-17:00
| 診療時間 | 月 | 火 | 水 | 木 | 金 | 土 | 日・祝 | 10:00-13:00 | ○ | × | ○ | ○ | ○ | ○ | × |
|---|---|---|---|---|---|---|---|
| 14:00-18:30 | ○ | × | ○ | ○ 19:30 |
○ | △ | × |
※ 休診日:火曜・日曜・祝日
※木曜日のみ午後診19:30まで、土曜日のみ午後診17:30まで診療
冨森歯科医院へのお問い合わせはこちら
森ノ宮キャンパス歯科・口腔外科への
お問い合わせはこちら
さんぽ歯科へのお問い合わせはこちら
ホワイト歯科クリニックへのお問い合わせはこちら
無料メール相談はこちら
24時間受付中デンタルローンについて
当院ではインプラント治療で
デンタルローンを
活用いただけます。
ご返済は、ご自分に合ったプランを無理なく組む事ができます。
詳しくは受付までお申し付けくださいませ。
お手続きがカンタン!
ご融資まで来店不要!
STEP 01
当院にてお申し込み
STEP 02
お申込み内容に
基づき
仮審査
STEP 03
ローンの契約書の
ご送付
お手続きは郵送によりご連絡いたします。
STEP 04
契約書類のご返送
郵送された契約書に自署、必要事項を同封し、ご返送ください。
STEP 05
本審査
本審査後お電話にてご契約内容確認のご連絡をいたします。
STEP 06
ご融資
医療費控除について
インプラント治療にかかる
高額治療費の
負担を軽くしませんか?
医療費控除とは
自分や生計を一にする配偶者、親族のために医療費を支払った場合には、一定の金額の所得控除を受けることができます。
1月1日から12月31日までに実際に支払った医療費に限って控除の対象となり、未払いとなっている医療費は実際に支払った年の控除対象となります。
控除対象の条件
控除の対象になるには
下記条件があります。
1年間の医療費を10万円以上
支払った場合
総所得金額の5%を超える場合
(所得が200万円未満の場合のみ)
申請方法
01
申請に必要な書類は
下記となります。
-
1医療費控除の明細書
-
2医療費の領収書(原本)
-
3医療費控除対象となる費用の領収書
-
4保険金などで補填される金額がわかる書類
-
5医療費控除の内訳
-
6還元金の振込先口座番号(本人名義)
-
7印鑑(認印)
-
8確定申告用紙
02
住んでいる地域の税務署に
提出(確定申告)
医療費に関する事項を記載した確定申告書を所轄税務署長に提出します。
インターネットを利用した電子申告(e-Tax)でも提出できます。
医療費の領収書など支出を証明する書類は、確定申告書に添付するか、確定申告書を提出する際に提示してください。
なお、給与所得のある方はこのほかに給与所得の源泉徴収票(原本)を添付する必要があります。
医療費控除額の
計算の仕方
医療費控除の対象となる金額は、次の式で計算した金額となります。
医療費控除は最大で200万円と決まっております。
実際に支払った医療費の合計
ー保険金の受給額
ー10万円か総所得の5%(どちらか少ない額)
医療控除額
歯科医院様へ
インプラント治療が必要な患者様の
ご紹介を承っています。
ご紹介を検討していただき、
誠にありがとうございます。
当院ではご紹介いただいたら、可及的速やかに依頼された処置を行い、
安心してご紹介いただいた医院様へ戻っていただけるよう
ご案内させていただきます。
STEP 01
受診受付
ご予約は電話にてお伺いいたします。その際、紹介の旨をお伝えいただけるとスムーズにご対応させていただけますのでご協力のほどお願い致します。
STEP 02
先生への報告
患者様より予約をいただきましたら、先生に報告し、治療スケジュールを共有させていただきます。
STEP 03
治療
ご予約当日にご来院いただき、治療を実施します。
STEP 04
完了報告
治療完了後、紹介患者様の受診結果は、担当医が返信状により報告します。
ご来院の際の注意点
来院予約時間には余裕を持ってお越しくださるようにお伝えください。




